Sunday June 02, 2013

Hand + cold water = fun with thermal camera
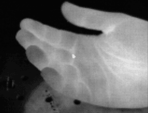
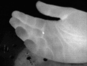
Here’s another picture from when I was “testing out the thermal camera”. I think I’ve well-established now that the thermal camera works, and that I’ve figured out how to capture video from it. Now I’m just… getting even more familiar with the camera? We’ll go with that.
So this is my hand, which glows in infrared light because it’s hotter than the room around it. I’m spraying it with room-temperature water, which looks black in comparison because it’s a bit cooler. You can also see that the tips of my fingers are a bit cold (they’re darker than my palm). Below my hand is its reflection on a shiny metal table - metal mirrors work the same way in infrared as they do in visible light.
Water, though, ISN’T transparent in infrared like it is in visible. You can see on the picture that it’s about as see-through as ink. To someone who sees only infrared (specifically, 10 micron wavelength, what this camera sees), it’s an opaque liquid, which can either be glowing like lava or not, depending on how hot it is. In my previous picture of the teacup, it was hot enough to glow brightly in the infrared, exactly like lava - but was still opaque.
